Rozpoznanie ciąży u klaczy może być trudnym zadaniem, zwłaszcza w jej wczesnych fazach. W tym czasie brzuch klaczy często nie wykazuje znaczących zmian, a zarodek jest jeszcze zbyt mały, by go wyczuć. Dlatego ważne jest, aby właściciele koni wiedzieli, na co zwracać uwagę, aby jak najszybciej zidentyfikować ciążę. W tym artykule omówimy kluczowe objawy ciąży oraz metody, które pomogą w potwierdzeniu stanu klaczy.
Wczesne rozpoznanie ciąży jest kluczowe dla zdrowia zarówno matki, jak i przyszłego źrebaka. Zrozumienie zmian w zachowaniu i kondycji klaczy może znacząco wpłynąć na jej opiekę w tym szczególnym okresie. Przyjrzymy się zarówno fizycznym, jak i behawioralnym sygnałom, które mogą wskazywać na ciążę, oraz metodom wykrywania tego stanu.
Najistotniejsze informacje:- Wczesne objawy ciąży u klaczy mogą obejmować zmiany w apetycie i zachowaniu.
- Fizyczne zmiany, takie jak wygląd brzucha, są trudne do zauważenia w początkowych fazach ciąży.
- Monitorowanie kondycji i apetytu klaczy jest kluczowe dla oceny jej stanu zdrowia.
- Metody weterynaryjne, takie jak badania krwi i ultradźwięki, są skuteczne w potwierdzaniu ciąży.
- Każda metoda wykrywania ciąży ma swoje zalety i wady, które warto rozważyć przed podjęciem decyzji.
Rozpoznawanie ciąży u klaczy - podstawowe informacje i metody
Rozpoznanie ciąży u klaczy to kluczowy aspekt opieki nad tymi zwierzętami. Wczesne wykrycie ciąży ma ogromne znaczenie dla zdrowia zarówno matki, jak i przyszłego źrebaka. W początkowych fazach ciąży, gdy brzuch klaczy jest jeszcze mały, może być trudno zauważyć jakiekolwiek zmiany. Dlatego warto znać podstawowe metody identyfikacji ciąży, które mogą pomóc w tym procesie.
Właściciele koni powinni zwracać uwagę na różne sygnały, które mogą wskazywać na ciążę. Istnieje wiele metod, które można zastosować, aby potwierdzić ten stan. Od obserwacji zachowań klaczy po stosowanie bardziej zaawansowanych technik weterynaryjnych, takich jak badania krwi czy ultradźwięki. Wczesne rozpoznanie ciąży nie tylko wspiera zdrowie klaczy, ale również pozwala na odpowiednie przygotowanie się do porodu.
Jakie są najwcześniejsze objawy ciąży u koni?
Wczesne objawy ciąży u klaczy mogą być subtelne, ale ich rozpoznanie jest kluczowe. Pierwszym sygnałem, na który warto zwrócić uwagę, są zmiany w apetycie. Klacz może jeść mniej lub więcej niż zwykle, co może wskazywać na jej stan. Dodatkowo, zmiany w zachowaniu, takie jak większa wrażliwość lub zmiana w interakcjach z innymi końmi, mogą być również symptomem ciąży.
Warto także obserwować, czy klacz wykazuje nienaturalne zmiany w swoim codziennym zachowaniu. Niektóre klacze mogą stać się bardziej spokojne lub wręcz przeciwnie, bardziej nerwowe. Zmiany te mogą być spowodowane hormonalnymi fluktuacjami, które zachodzą w organizmie w czasie ciąży. Dlatego regularne monitorowanie zachowania klaczy jest kluczowe dla wczesnego rozpoznania ciąży.Praktyczne porady dotyczące obserwacji tych wczesnych objawów obejmują:
- Regularne sprawdzanie apetytu klaczy i zwracanie uwagi na wszelkie zmiany.
- Obserwacja interakcji z innymi końmi oraz ich zachowania w stadzie.
- Notowanie wszelkich zmian w zachowaniu, które mogą wskazywać na ciążę.
Jakie zmiany w zachowaniu mogą wskazywać na ciążę?
Obserwacja zachowań klaczy jest kluczowym elementem w rozpoznawaniu ciąży. Zmiany w zachowaniu mogą być jednym z pierwszych sygnałów, które wskazują na to, że klacz jest w ciąży. Na przykład, klacz może stać się bardziej wrażliwa i unikać kontaktu z innymi końmi. Może również wykazywać oznaki niepokoju lub nadpobudliwości, co jest spowodowane hormonalnymi zmianami zachodzącymi w jej organizmie.
Innym istotnym zachowaniem, które może sugerować ciążę, jest nawyk budowania gniazda. Klacz może zacząć zbierać materiały, takie jak siano czy trociny, aby przygotować miejsce do porodu. Tego rodzaju zmiany w zachowaniu są bardzo indywidualne i mogą różnić się w zależności od osobnika. Zrozumienie tych zachowań pomoże właścicielom lepiej monitorować stan zdrowia swoich klaczy.
Fizyczne zmiany u klaczy w ciąży - co obserwować?
Fizyczne zmiany w ciele klaczy są kolejnym ważnym aspektem, który należy obserwować w kontekście rozpoznawania ciąży. W miarę postępu ciąży, klacz będzie doświadczać różnych zmian, które mogą być zauważalne dla doświadczonego właściciela. Na przykład, może wystąpić niewielkie powiększenie brzucha, co jest naturalnym wynikiem rozwoju zarodka. Warto zwrócić uwagę na to, jak zmienia się ciało klaczy w miarę upływu czasu.
Oprócz powiększenia brzucha, klacz może również wykazywać zmiany w kondycji fizycznej. Zwiększone zapotrzebowanie na składniki odżywcze może prowadzić do większego przyrostu masy ciała. Dodatkowo, klacz może stać się bardziej spokojna i mniej aktywna, co jest normalne w czasie ciąży. Monitorowanie tych zmian jest kluczowe dla zapewnienia zdrowia zarówno matki, jak i przyszłego źrebaka.
Jak wyglądają zmiany w wyglądzie brzucha klaczy?
W miarę postępu ciąży, brzuch klaczy zaczyna wykazywać zauważalne zmiany. Na początku, w pierwszych tygodniach, zmiany te mogą być subtelne i trudne do zauważenia. Klacz może wyglądać niemal tak samo jak przed ciążą, jednak z czasem, w miarę wzrostu zarodka, brzuch zaczyna się powiększać. Zazwyczaj po około 3-4 miesiącach ciąży, zmiany stają się bardziej widoczne, a brzuch staje się bardziej zaokrąglony.
Warto zwrócić uwagę na kształt brzucha klaczy. W miarę jak ciąża postępuje, wygląd brzucha zmienia się, co może być wskaźnikiem rozwoju zarodka. W późniejszych etapach ciąży, brzuch staje się bardziej wypukły i może wydawać się twardszy w dotyku. Obserwacja tych zmian jest kluczowa, aby upewnić się, że ciąża przebiega prawidłowo.
Co mówi kondycja i apetyt klaczy o jej stanie?
Kondycja i apetyt klaczy to istotne wskaźniki jej zdrowia i stanu w czasie ciąży. Monitorowanie kondycji klaczy jest kluczowe, ponieważ zmiany w jej wyglądzie mogą sugerować, jak dobrze radzi sobie z ciążą. W okresie ciąży klacz może potrzebować więcej składników odżywczych, co może prowadzić do zwiększonego apetytu. Właściwe żywienie jest niezbędne dla zdrowia zarówno matki, jak i rozwijającego się źrebaka.Jeżeli klacz traci na wadze lub wykazuje brak apetytu, może to być sygnałem, że coś jest nie tak. W takim przypadku warto skonsultować się z weterynarzem. Zbilansowana dieta, bogata w witaminy i minerały, jest kluczowa dla zdrowia klaczy w ciąży. Regularne monitorowanie jej kondycji i apetytu pomoże wczesniej wykryć ewentualne problemy zdrowotne.
Czytaj więcej: Dlaczego koń śpi na stojąco? Odkryj zaskakujące powody tego zachowania

Metody wykrywania ciąży u koni - skuteczne podejścia
Wykrywanie ciąży u klaczy jest kluczowym etapem w opiece nad tymi zwierzętami. Metody wykrywania ciąży są różnorodne i mogą obejmować zarówno techniki weterynaryjne, jak i obserwacje zachowań klaczy. Wczesne potwierdzenie ciąży pozwala na wdrożenie odpowiednich środków żywieniowych i zdrowotnych, co jest istotne dla zapewnienia zdrowia zarówno matki, jak i przyszłego źrebaka. Właściwe podejście do wykrywania ciąży może znacznie wpłynąć na przebieg ciąży i porodu.
Wśród najczęściej stosowanych metod znajdują się badania krwi, ultradźwięki oraz badania fizykalne. Każda z tych metod ma swoje unikalne zalety i może być stosowana w różnych sytuacjach. Warto jednak pamiętać, że konsultacja z weterynarzem jest zawsze zalecana, aby dobrać najbardziej odpowiednią metodę do indywidualnych potrzeb klaczy.
Jakie badania weterynaryjne pomagają potwierdzić ciążę?
Badania weterynaryjne odgrywają kluczową rolę w potwierdzaniu ciąży u klaczy. Badania krwi są jedną z najpopularniejszych metod. Pozwalają na wykrycie hormonów ciążowych, takich jak progesteron, co jest wskaźnikiem, że klacz jest w ciąży. Badania te są stosunkowo szybkie i mogą dostarczyć informacji w ciągu kilku dni.
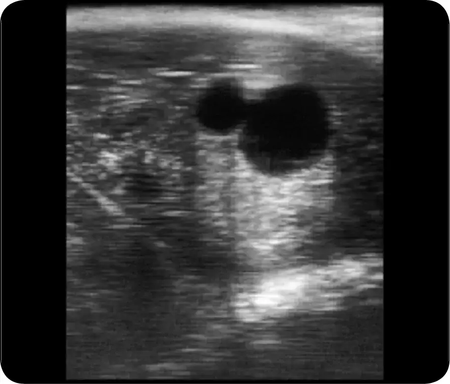
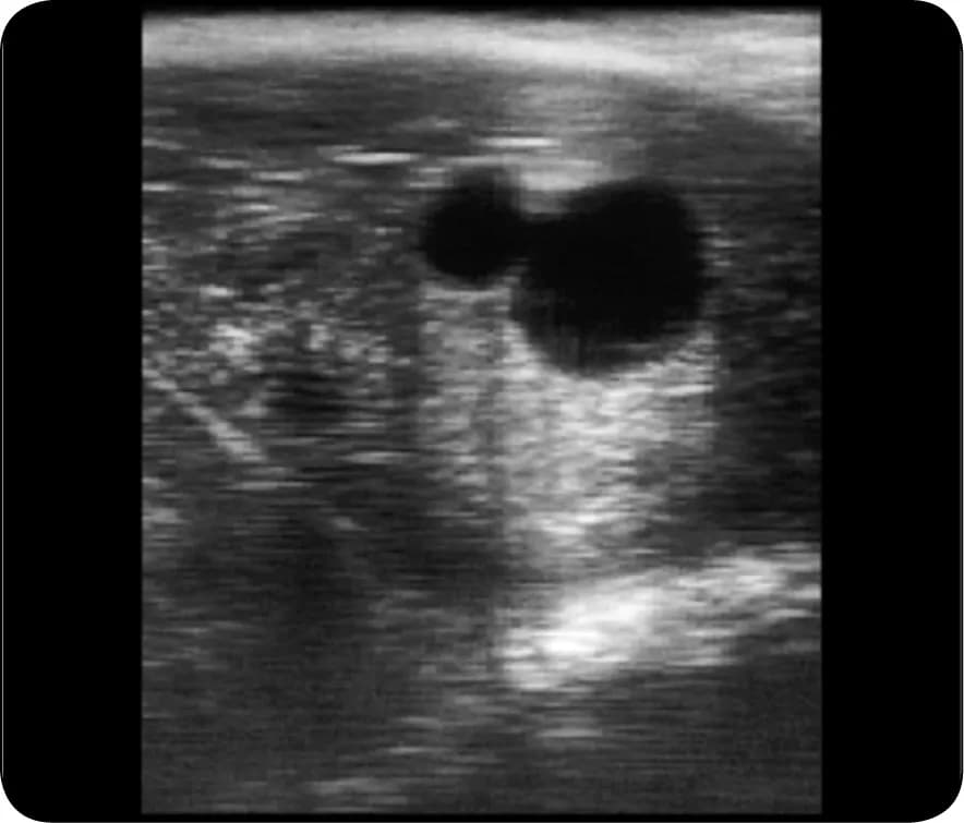
Inną skuteczną metodą jest ultrasonografia, która pozwala na wizualizację zarodka w macicy. To badanie jest szczególnie przydatne w późniejszych etapach ciąży, kiedy zmiany w ciele klaczy stają się bardziej widoczne. Ultrasonografia daje także możliwość oceny zdrowia zarodka, co jest istotne dla planowania dalszej opieki nad klaczą.
- Badania krwi: Szybkie i skuteczne w wykrywaniu hormonów ciążowych.
- Ultrasonografia: Umożliwia wizualizację zarodka i ocenę jego zdrowia.
- Badania fizykalne: Pomagają w ocenie ogólnego stanu zdrowia klaczy.
Jakie są zalety i wady różnych metod wykrywania ciąży?
Wybór odpowiedniej metody wykrywania ciąży u klaczy jest kluczowy dla zapewnienia zdrowia zarówno matki, jak i przyszłego źrebaka. Każda z metod ma swoje zalety i wady, które warto rozważyć przed podjęciem decyzji. Na przykład, badania krwi są szybkie i stosunkowo łatwe do przeprowadzenia, ale mogą nie dawać pełnego obrazu zdrowia zarodka. Z drugiej strony, ultrasonografia dostarcza szczegółowych informacji o stanie ciąży, ale jest bardziej kosztowna i wymaga specjalistycznego sprzętu oraz umiejętności.
Inne metody, takie jak badania fizyczne, mogą być mniej inwazyjne, ale nie zawsze są wystarczająco dokładne. Warto również pamiętać, że niektóre metody mogą być bardziej odpowiednie w zależności od etapu ciąży. Dlatego ważne jest, aby właściciele koni konsultowali się z weterynarzami, aby wybrać najlepszą metodę dostosowaną do indywidualnych potrzeb klaczy.
- Badania krwi: Szybkie, ale mogą nie wykrywać problemów zdrowotnych zarodka.
- Ultrasonografia: Dokładna i szczegółowa, ale kosztowna i wymagająca specjalistycznego sprzętu.
- Badania fizyczne: Mniej inwazyjne, ale mogą być mniej dokładne w ocenie stanu ciąży.
Nowe technologie w wykrywaniu ciąży u klaczy - przyszłość opieki
W miarę rozwoju technologii weterynaryjnej, nowe metody wykrywania ciąży stają się coraz bardziej dostępne i efektywne. Jednym z obiecujących kierunków jest zastosowanie technologii monitorowania zdalnego, która pozwala na ciągłe śledzenie parametrów zdrowotnych klaczy. Dzięki zastosowaniu czujników umieszczonych na ciele konia, właściciele mogą uzyskiwać dane o aktywności, temperaturze ciała oraz innych istotnych wskaźnikach, co może pomóc w wczesnym wykrywaniu zmian związanych z ciążą.
Dodatkowo, rozwój algorytmów sztucznej inteligencji umożliwia analizę zebranych danych, co może prowadzić do bardziej precyzyjnych prognoz dotyczących zdrowia klaczy. Takie podejście nie tylko zwiększa skuteczność wykrywania ciąży, ale także pozwala na lepsze dostosowanie diety i opieki do indywidualnych potrzeb klaczy w ciąży. W przyszłości, integracja tych technologii z tradycyjnymi metodami wykrywania ciąży może zrewolucjonizować sposób, w jaki opiekujemy się tymi zwierzętami.
